Athlete gets cancer. Athlete fights cancer. Repeat, again and again...

This story appears in the July 17, 2017, issue of Sports Illustrated. Subscribe to the magazine here.
It was on the morning of Good Friday in 2009 when the runner first met her cancer. She was a fifth-year senior at Minnesota, sitting in the lobby of a hotel in Tempe, Ariz., one day before a college track meet. The runner was born Gabriel Anderson, because her mom liked Biblical names and thought Gabriel evoked both strength and beauty. Plus, it would work fine for a boy or a girl, though the kids in elementary school ruthlessly truncated it to Gabe, which has stuck. One day she would marry a Gophers distance runner named Justin Grunewald and legally add an “e” to her first name, thus transforming into Gabriele Grunewald—but still Gabe to most outside her family. On this morning in Tempe, however, she was just an anxious 22-year-old waiting for a doctor’s phone call that would alter the course of her life.
Several days earlier she’d noticed a tiny bump below her left ear, and a doctor had performed a fine-needle aspiration to remove fluid. Grunewald remembers that procedure to this day because even with everything she has endured since, nothing has been more painful. The fluid was sent out for a biopsy, and Gabe kept training with her teammates, eventually flying off to Arizona. She was in good shape, ready at 22 to start a crowning college season in which she would finally win a Big Ten title, finally earn All-America, finally put up the numbers to launch a professional running career. Plus, it couldn’t be cancer. Just a few weeks earlier her mother, Laura, endured exploratory surgery for what doctors believed was advanced uterine cancer…only to learn post-surgery that she didn’t have cancer after all. The family had escaped. “I went from thinking my wife was going to die to everything is fine and dandy, all right there in a hospital waiting room,” says Gabe’s father, Kim. Life couldn’t be so cruel as to test them again—not this soon.
It was cancer. Gabe’s doctors told her she had adenoid cystic carcinoma (ACC), a rare form found primarily in the salivary glands that occurs in 3.5 out of every million cancer patients. (While there will be an estimated 255,180 new cases of breast cancer in 2017, only 1,200 to 1,300 people will be diagnosed with ACC.) “It’s a cancer most oncologists will never see,” says Naomi Fujioka, now Gabe’s primary oncologist at University of Minnesota Health.
She would need surgery to remove the tumor. In tears, Gabe told her coach, Gary Wilson, that she would seek another year of eligibility to achieve her goals, bureaucratic wrangling be damned. She then gathered her teammates by the hotel pool and shared the news. Ladia Albertson-Junkans, who 16 months earlier had lost her 49-year-old stepfather to Hodgkin’s lymphoma, was so shaken that she ran from the hotel in tears, a reaction she regrets to this day. Most of the others experienced it as a sudden first brush with mortality. “For those women,” says Wilson, “it was like hearing that one of [their] sisters had cancer.”
Gabe went back to her room and Googled ACC, and from dense paragraphs of scientific jargon one truth jumped off the screen: There is no standard of care. There are treatments and there is research, but there is nothing resembling a silver bullet. It is a whack-a-mole cancer that can be repeatedly swatted back into its hole, only to return in the same hole—or somewhere else—sometimes quickly or other times many years later. “It’s characterized by coming back,” says Fujioka. Gabe read all of this as “incurable.” She remembers that word; maybe it was on one of the web pages. “I thought, Well, that’s not good. What happens? People get this disease and just succumb to it?” She would later learn that curability is not binary, but something more nebulous, more intimate. She still applies the term incurable, but mostly as a means of dumbing down the complexity of her illness for laypeople, often media.
That weekend in Tempe, Gabe stayed with her team and 24 hours later ran a personal best of 4:22.87 in the 1,500 meters because it would have been a shame to let all that training go to waste. Later, back in Minnesota, she underwent a grueling six-hour surgery to remove the tumor and one of her six salivary glands, followed by two months of daily radiation treatments. It all marked the beginning of Gabe’s life with cancer, not the end. She couldn’t have known then just how challenging, how painful, how rewarding, how terrifying…how important that life would be.

More than eight years later, on the evening of June 10, Gabe was one of 15 women fanned out across the pale-orange surface of the track at Vanderbilt University in Nashville, host of the Music City Distance Carnival meet. They stood at the top of the backstretch, where the 3¾ laps of the 1,500 meters begin, but a grove of live oak trees blotted out light from the towers that rose above the track, leaving the racers in a fuzzy half-darkness just before the gun. They would come off the line like ghosts emerging from the cornstalks in Field of Dreams. The day’s 87-degree heat had given way to a pleasant stillness, so sweet for racing. Grunewald lined up fourth from the inside, wearing a yellow racing top and a blue bottom.
Since that morning in Tempe, cancer had come back three times. First there was thyroid cancer in 2010, just a year after her initial diagnosis. This was an entirely different kind of cancer, which at first confused everybody (but which now seems like a footnote). In the days between those first two cancers, Gabe, now 31, had lived—and run—voraciously. She learned that ACC five-year survival rates are very high (approximately 89%), and she attacked those five years. “Just fit in everything I can,” Gabe says. She procured that extra year of eligibility and took a whopping 10 seconds off her 1,500-meter PR, down to 4:12.06. She finished second at the Big Ten championship, second at the NCAAs and scored a modest pro contract with Brooks. Justin was away at medical school, in Duluth, so she also stayed out a little later, drank a little more beer and a little more red wine, escaping and experiencing a life she’d avoided in her past. “Sometimes those nights ended in tears and drama,” she says, “because I would get emotional about everything.” She had surgery on the thyroid cancer that fall, followed by one treatment with radioactive iodine, and then she bounced back quickly.
The big cancer, ACC, stayed away for seven years, and in that time Gabe carved out a career as a solid professional middle-distance runner. She finished fourth in the 1,500 meters at the 2012 Olympic trials, ran a personal best in the same event in ‘13 (4:01.48; only 10 American women have ever run faster) and won the indoor 3,000-meter national title in ‘14.
Then the ACC came back last summer in the form of a cantaloupe-sized tumor that absorbed two thirds of her liver. Doctors took it out, leaving a 13-inch, purple fishhook-shaped scar on Gabe's abdomen. Six months later, the ACC came back again, this time in the form of 12 small tumors on her liver. Multiple treatment options were considered, and rejected, before doctors prescribed a course of chemotherapy. Gabe delayed treatment to try to achieve the qualifying standard, 4:09.52, for last month's U.S. national championships—that would be her goal for the year. Her season’s training had started late because of the abdomen surgery, but she was in respectable shape. Now she would have to hurry to qualify before chemo. “We were going to have to cram a lot of training into a short time, which is never a good thing,” said Gabe’s longtime professional coach, Dennis Barker.
She ran 4:20.17 in a May 5 race at Stanford, and then two weeks later, in Southern California, 4:12. It was as fast as she would run this year.
But Gabe did something else, too: She began to talk about her cancer with anyone who asked. She developed a short, digestible version of a long, complex story for reporters. She sat for hours for a mini-documentary funded in part by Brooks and in part by the American Cancer Society. She shared endlessly on Instagram and Twitter. (She also devoted multiple days to this story.) All of this was exhausting and did nothing to help Gabe in her pursuit of 4:09. “It was so far out of my comfort zone, and it was overwhelming,” Gabe would say later. “I was conflicted about how much I wanted to share, like if I didn’t talk about my cancer maybe it wouldn’t come back. But a lot of people are suffering from this. It was totally worth it.”
Others agree. Alan Ho, a medical oncologist at Memorial Sloan Kettering Cancer Center in New York City, has consulted on Gabe’s case, and he says he's already seeing more attention paid to ACC “since Gabriele has been so generous in talking about it." Gabe, meanwhile, has seen dozens of people reach out on social media, including a woman who raced against her in college and whose husband has ACC.
On the night of June 2, Gabe ran 4:17.75 and finished fourth in a 1,500- meter race at the Boston Boost Games in Somerville, Mass. Uneven pacing cost her, but she also felt lousy. She was to begin a first round of weekly chemotherapy for the liver tumors three days later. The window was closing. Minutes after the Somerville race, Gabe stood on the grass next to the track, goose bumps rising on her slender arms in 62-degree chill. “O.K., that’s it,” she said. “Time to for me to start treatment. Time to move on to the next thing.”
But she didn’t. On June 5 she spent four hours in a lounge chair at the Masonic Cancer Clinic at UM Hospital in Minneapolis while bags of Cisplatin and Vinorelbine were dripped into her bloodstream through an intravenous line in her left forearm. (Gabe’s chemotherapy regimen calls for weekly infusions on a three-week, on-on-off cycle; she will get at least four cycles, possibly six.) Then, four days later, she flew to Nashville to take one more crack at 4:09.
It did not go well. Unlike the Boston race, this one was evenly paced and relatively quick: 65 seconds at 400 meters and 2:12 at 800. Gabe stuck her nose in it for half a mile, then she imploded, falling off the back. She staggered across the line in 4:28.88, 12th among the 13 runners who finished; she'd last run that slow when she was a sophomore in college. Afterward, she dropped to all fours on the track and rolled onto her side, crying.
For nearly eight years—but more intensely over the last 10 months—she had woken every morning with voices in her head, defining her mortality. She was sad about exotic vacations she thought might never be taken and weddings that might be missed; she feared she might never be a mother but was grateful for a rich, short life. “I’ve lived my dreams, married my dream guy,” she says. She was by turns resigned (“Modern medicine and my faith will lead me to whatever ends up happening”) and willful (“No one knows how long I can survive this; I take that as a challenge").
She was enduring it all while living and running, but the chemotherapy was one punch too many, and now she lay on the pebbled surface of Vanderbilt's track, wasted beneath the lights. Sara Vaughn, one of Gabe’s best friends on the running circuit (where friendships are rare), helped her to her feet. “This is too hard,” Gabe said between sobs. “I can’t do this anymore.”

One day after the race at Vanderbilt, Gabe and Justin run an easy seven miles from their apartment in downtown Minneapolis, just west of the Mississippi River and in the shadow of the Vikings’ hulking new U.S. Bank Stadium. Gabe is still bothered by her performance. “I made an impulsive decision to spend $1,000 to fly to Nashville and [I ran] four twenty- eight,” she says, spitting out the time like it’s bad sushi. “I don’t want to make a joke of my sport. I mean, what am I doing?”
The athlete-with-cancer story is a familiar one. Athlete gets cancer. Athlete fights cancer. Athlete beats cancer. Or: Athlete loses fight and is mourned for battling bravely. But it is always more complicated than that. Gabe remembers the first time she got sick, in 2009, and then ran so fast afterward, with the word cancer in the first paragraph of every story. “I was being such a good cancer-survivor-runner,” she says, a little cynically, because back then she had no idea what lay ahead. All these years later, she is still battling her cancer with chemotherapy while trying to run footraces against fast, healthy opponents because it helps her feel alive and because maybe it will help others feel alive too.
Gabe is 5' 6", 110 pounds when she’s racing fit, rail thin and taut. Her face is elastic, twisting and scrunching to fit any mood. She is also feisty. In Nashville, Wilson, her old college coach, tried to console her, saying, “You’re inspiring so many people.” Gabe laughed: “I’m trying to inspire myself to be less of a dips---.” Now she adds, “I have no idea if I’m doing a good job of running on chemo. It’s such a strange, abstract concept.”
It’s another banality that some cancer patients fight harder than others and are rewarded with prolonged life, when in reality some are just less fortunate. That disclaimer aside, Gabe has always been the fighting type. She was raised in Perham, Minn., a town of 3,185 in the middle of the Lakes Region, 180 miles northwest of the Twin Cities. She’s the second of five children—three boys and two girls, the last two, twins—born to Kim and Laura, both 60, who met as teenagers in Grand Forks, N.D., and both graduated from the University of North Dakota.
The Andersons encouraged their children to play sports. Kim had been a state champion high school wrestler—Laura was a cheerleader; “that’s all we had,” she says—and in the winter he would take his kids ice fishing, six holes in the ice house and a bunch of tip-ups outside. Gabe was serious from the start. “I was not a popular kid,” she says. “I never even made homecoming court. It was a cutthroat competition.” Team sports were cutthroat too, and Gabe often saw her brothers succeed or fail based on the venomous whims of small-town sports politics. Running was the key that unlocked her spirit; she made the varsity track and cross country teams as a seventh grader and was competitive with the best small-school runners in the state. “With running, nobody could [choose not to] start me in a big game,” she says. “You got out of it what you put in.”
She didn’t have any boyfriends. “The boys in my town, they weren’t going anywhere,” she says. “They were going to [North Dakota State in] Fargo. Maybe. I didn’t want to go to Fargo.” Laura recalls, “Gabriele was much too strong for high school boys." The guys on the cross-country team called her Grandma Gabe "because they were afraid to ask her out,” adds Caleb, one of her two older brothers.
Gabe didn’t win an individual state championship until the 800 meters in 2004, her senior year. In that race she upset the favorite by getting to the front and staying there, setting a three-second PR of 2:14.14. “She dominated that race,” says Jeff Morris, who coached Gabe her last two years at Perham High and saw what others would see later. “The word that describes her is grit. Every day she would push for faster workout paces. In her senior year I had her running with the boys.”
Gabe waffled on where to attend college. Her 2:14 brought late offers from some D-III and small D-I colleges, but she wanted to take a shot at Minnesota. Wilson, who had been coaching the Gophers since 1985, regularly sought to recruit home-state walk-ons with modest high school times, knowing some of them would prosper. He wrote Gabe several letters, inviting her to visit campus, but she kept stubbornly declining. “They were recruiting over me,” says Gabe. “They didn’t make me feel very wanted.” Wilson saw things differently. “I called her four or five times," he says, "and she didn’t call me back. [Morris] told me to keep trying and I said, ‘No; this kid is a pain in the butt.’” Gabe finally traveled to Minneapolis that summer, spoiling for a fight. “God’s honest truth, before her foot even hit the floor inside my office I was thinking, This kid is tough. She walked in with an attitude, like, I’m gonna knock your head off.”
Gabe walked on at Minnesota with something to prove and she flourished. She ran on two Big Ten-champion cross-country teams and challenged for conference track titles in the 800 and 1,500 meters, before and after her first cancer. Albertson-Junkans remembers doing a workout with Gabe during their freshman year: a five- mile run, with the miles becoming progressively faster, before finishing with an all-out 800 meters on the track. “She would leave it out there in the 800,” says Albertson-Junkans, now an accomplished trail runner. “She had a willingness to dig deep and go to the most painful places. Most people back off. They get frightened. Gabe would embrace that discomfort and uncertainty.”
Wilson says, “I don’t want this to sound wrong, but she was resilient like a guy. Some women—and I love coaching women—will cry and say, ‘I hate you, coach.’ You could get in Gabe’s face, and she would stand there and take it. She was just, ‘O.K., I got it. Let’s go.’” Teammates remember the breadth of Gabe’s spirit. “Such a strong personality,” says Mallory Van Ness, who ran for three years with Gabe at Minnesota. “And a big karaoke fan. She’ll request Whitney Houston’s ‘I Wanna Dance With Somebody’ and get right up there.”
Her tactical strength was her kick. “She’s so fierce, so tough,” says Vaughn. “Not afraid to throw elbows or get gritty. So many times I would see her make a move at the end of a race and think, That’s the move I should have made.” But that strength was also her weakness. She would use her kick as an excuse for sitting just a stride too far out of the real race, or moving a second too late. Barker, her pro coach, says, “Physically, Gabe has everything it takes. The mental part was always a little harder. I’ve tried to get her to be more aggressive [earlier] in her races.”
Gabe made every U.S. championship 1,500-meter final from 2009 through, finishing as high as fourth in '12 and fifth in '14. She has had the misfortune of coming along in the same era as two of the best American milers in history: '16 Olympic 1,500- meter bronze medalist Jenny Simpson and U.S. 1,500-meter record holder Shannon Rowbury. Those two have dominated the championship finals. It's a tough room.

Last July 10, Gabe finished 12th of 12 in the 1,500 meters at the U.S. Olympic trials in Eugene, Ore., with a time of 4:18.75, seven seconds slower than she’d run in her semifinal heat. It marked the end of a season that began with lofty goals, was complicated by a sacral stress fracture in March and ended with thudding disappointment. But the truth was: Gabe hadn’t felt quite right for a while. There’d been a nagging discomfort on her right side, which she tried to ignore. “It was tingling,” she says, “right after eating.” Of course, runners are all princesses with their own peas. A month earlier she’d seen a Portland physical therapist who felt something strange and explained to Gabe that she had an accessory rib on her right side, which no one had ever told her before. (She doesn’t; it was something else.) Then she ran 15:19.50 in the 5,000 meters, just off her personal best.
Two months later, on the morning of Sunday, Aug. 7, Justin came home from an overnight shift at the Abbott Northwestern Hospital ICU (where he was a resident in internal medicine and will soon be working full-time as a hospitalist). Gabe rose from the bed. Justin hugged her—and then he pulled back.
“Your right side feels firm,” he said.
“What’s in there?” Gabe asked.
“Your liver.”
It had been more than eight years since Gabe’s initial ACC diagnosis. She knew it would almost certainly return at some point, but she’d also moved on. “I was no longer Googling my disease all the time,” she says. She did remember clearly, however, that when ACC metastasizes it is most often to the lungs . . . but sometimes to the liver. “When Justin said ‘Your liver,’ I was like, ‘Ugh, that’s disturbing. Immediately this sense of dread set in.”
The next several days unfolded in a fog of uncertainty and fear. Gabe and Justin went to Abbott Northwestern and got an ultrasound of Gabe’s liver. The organ looked oversized, but an ultrasound won’t delineate specific masses. They went to dinner and ate bratwurst, walked back and forth across the Stone Arch Bridge and then went home and watched Olympic swimming on television. Finally Justin said, “Screw it.” They went back to the Abbott emergency room and got a CT scan.
Justin: “The PA came out and said, ‘You have a huge tumor in your liver.’”
Gabe: “Lesion. She said lesion. I appreciated that she said lesion, not tumor.”
Doctors at first estimated the lesion to be roughly six by five inches and shaped like a rugby ball. Justin saw the scan. Gabe didn’t want to see it; she felt an immediate urge to vomit. “I had this alien inside of me,” she says, “and I kept telling Justin, ‘Get it out!’ At the same time, I knew it wasn’t coming out today or tomorrow.”
Medical uncertainty is a terrifying thing; Justin sought to accelerate the time line. He texted a fellow resident and asked for help in locating a liver specialist, and he was put in touch with Julie Thompson at M Health, who immediately fast-tracked Gabe’s case. “I just imagined how frightened they must be,” says Thompson, “how overwhelming it must have felt.” Thompson arranged to have Gabe’s CT scan shared with a group of 25 cancer doctors at their weekly “tumor conference” five days after Justin had hugged Gabe. “I pulled up Gabe’s images,” says Thompson, “and there was just this silence, then a sort of gasp, like Ahhh. It was such an impressive tumor in such a young, fit person.” The consensus at the conference: The tumor would almost certainly prove cancerous. A biopsy was performed the following week, and Gabe got the news in a text from Thompson while she was driving with Justin to his family’s vacation home on Pelican Lake, 200 miles north of Minneapolis. Her ACC had returned.
That news put an end to a divisive bit of hope that had lingered for several years. When Gabe’s second cancer, in 2009, proved to be undifferentiated thyroid cancer, unrelated to her initial onset of ACC, the Anderson family came to doubt the initial diagnosis of ACC. It just seemed so unlikely that Gabe would experience a second cancer so soon, and that it wouldn’t be ACC when ACC is so notorious for returning. After seven years clean, perhaps she didn’t have ACC at all. But the diagnosis last August ended that hope. “I was in denial,” says Kim. “I was hoping she was cured after the second cancer, that it was never ACC. . . . Then it came back. It was always there.”
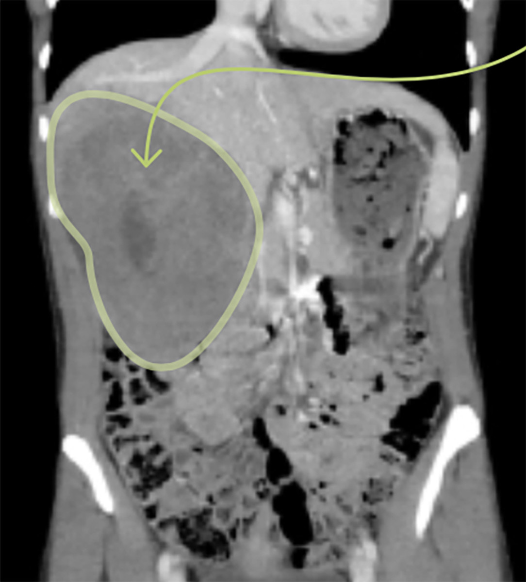
ACC most commonly metastasizes to the lungs, far less often in the liver. In other words, Gabe had a rare version of a rare cancer. There was some good news, though: The new tumor was resectionable, meaning that it could be removed, and with it, in theory, would come all the new cancer, still leaving enough of the liver that it would grow and return to full capacity. (Further recurrence of metastatic cancer was still likely.) On the morning of Aug. 26, Eric Jensen, a 44-year-old professor of surgical oncology at M Health, performed a five-hour, extended right hepatectomy on Gabe, removing the tumor along with her gall bladder (which, essentially, was in the way).

Jensen started with his scalpel. “It’s a tough incision,” he says. “The majority of liver surgery is done less invasively—laparoscopically or with a small incision—but this was a large tumor in a small-framed woman.” The incision went through every layer of Gabe’s abdominal wall. Jensen initially struggled to pull the tumor out from beneath Gabe’s rib cage; when he finally succeeded he instructed his scrub nurse to call Justin, who was out running because he dislikes hospital waiting rooms. “It sounded like they were having a party in the operating suite,” Justin remembers.
The tumor Jensen removed—the one that was growing in Gabe’s torso when she ran the Olympic Trials—was 6.3 inches long, six inches wide and almost four inches thick, bigger than believed. It weighed about four pounds, slightly less than a two-liter bottle of soda.
A week later, Gabe danced gingerly at her brother Caleb’s wedding. She didn’t run seriously for six months, but when she started training this February she had no pain in her abdomen. She was optimistic about her near future and her upcoming season.
On March 10, seven months after surgery, Gabe underwent a routine PET scan. “I know this disease,” she says. “I knew I wasn’t cured. But I just wanted one clean scan to tell me I was cancer-free. I just wanted some time without cancer.” Ten days later she met with Fujioka, a 42-year-old oncologist who first came to the University of Minnesota to attend classes for free as a high school senior and has never left. Her job is filled with challenging interactions. "People don’t want to need an oncologist," she says. "They don’t want to need me." Fujioka had met with Gabe and Justin just once previously, a month after Gabe’s large-tumor surgery. Here, Fujioka walked into the room, sat down and said, “I have some bad news. . . .”
Fujioka told the couple that the scan showed 12 small tumors on Gabe's liver, all of them smaller than a dime— but Gabe says, "I shut down after ‘I have some bad news.’ I mean, how much worse can it get? How much more bad news?”
On a rainy June afternoon, Fujioka sat in her 12th floor office overlooking Minnesota's campus and talked about that meeting with Gabe and Justin: “This is the second time we’ve ever met, and I drop this big bomb on them. Gabe is so young and so healthy, and you wish the cancer would have stayed away longer. It was hard. There were tears. But then, pretty quickly, Gabe said, ‘O.K., what do we do next?’”
Gabe and Justin decided to seek the highest level of treatment available, rather than just staying put in Minneapolis. Ho, a 43-year-old graduate of the med school at Washington University in St. Louis, had arrived at Sloan Kettering in New York in 2005 and there was guided toward the study of rare cancers, a role he has embraced empathetically. "For patients, there is uncertainty with cancer in general," he says. "But it becomes so much more stressful and demanding when you put the rare label on it. Imagine: You go to your oncologist, and the first thing he tells you is that he’s never heard of your disease." And so when Gabe emailed Ho late one night in April, he emailed her back within minutes, which brought Gabe immense relief. The two met on May 10 in New York. (Fujioka remains Gabe’s primary oncologist.)
The difficulty in finding treatments for rare cancers lies largely in their rarity. There is less funding and less research than for more common cancers, more widely known cancers. (Jensen, Gabe’s liver surgeon, puts it more bluntly: "Nobody is running 5Ks or giving out pink ribbons for adenoid cystic carcinoma.") ACC research, in particular, is in its infancy and will always be made challenging by its tiny patient pool, and thus a paucity of clinical trials, which are the backbone of cancer research. Ho says that from the 1950s through 2009, a total of only 400 ACC patients have participated in clinical trials—"an incredibly small number." The path to effective treatment is a snow-covered sidewalk in a Minnesota winter; shoveling has just begun.
Gabe’s case had become more urgent when her cancer returned and then, after the removal of a large tumor, returned again as multiple smaller tumors. "As with every cancer," says Ho, "your chance of curing it is always highest when it first presents. When the disease comes back, the likelihood is lower."
With the new liver tumors Gabe had several potential treatment strategies. Cancers are cellular mutations, and treatments are developed to target specific mutations—but not all mutations qualify. Gabe’s latest cancer is a known mutation. She consulted with a specialist at the Mayo Clinic in Rochester, Minn., where targeted gene therapy is available, but her mutation was not a match for any ongoing clinical trials. Separately, Ho’s most recent trial had filled its last four spots just before Gabe arrived in New York. That left chemotherapy as the next immediate option, although chemo is not as effective against ACC as it is against many other malignancies. "We all wish chemotherapy would work better for adenoid cystic," says Ho. "There are a few trials out there with patients where chemotherapy is giving modest responses."
Ho implores his patients to think past the most frightening moments and to embrace a challenging perspective. "Cured or not cured is about managing one’s life and managing the disease," he says. "In Gabriele’s case, it was time to start treatment. But we’re looking down the road, too."
On the day of Gabe’s first chemo treatment, doctors at Minnesota Health took a fresh liver biopsy—because cellular mutations can change over time—and delivered them to Ho, who continues to seek a match for targeted therapy based on the genetic profile of Gabe's new tumors. "This is an ongoing process," says Ho. "It never stops. I tell my patients: This is a marathon, not a sprint."

Throughout every thing, Gabe kept running. She was accepted into the national championship—spots were available because too few women met the qualifying standard—and on June 22 in Sacramento she finished last (4:31.18) in what was essentially a ceremonial 1,500-meter heat. Gabe had spent four hours earlier that week in an emergency room with a fever, a red flag for chemotherapy patients. Her workouts, even truncated, had become difficult to finish. “My body was no longer fully on board,” she says. Afterward, the modest crowd gave her two standing ovations and the eight other runners in her heat pulled her into a small huddle.
This spring brought a strange transition for Gabe. She had always run for the racing and the competition. “I was never one of those people who has a transcendental relationship with running,” she says. Then that changed. She came to appreciate the touch of her spikes on a track, the presence of her opponents on the starting line and the feel of the air blowing across her face. “I love running more now than I ever did,” she says. “It makes me feel like myself.”
Gabe will try to run through treatment, if only a few days a week. And she hopes to race again. A few times in the spring she imagined that these were her last races, and that thought was too heavy to hold. There are other goals. Albertson-Junkans and Van Ness, old college buddies, are getting married later this year, and Gabe is a bridesmaid in both weddings. She plans to dance, and if chemo takes her hair, she says, “I’ll get an awesome wedding wig.”
She continues to develop an acute relationship with her mortality. Every day, every week, every month, every year can bring the science closer to a cure for her cancer. She is young and strong, and that helps. But she feels the urgency more nowadays. “For a few years, I was always low-level anxious that the cancer would come back. Well, now it’s here. And there is some peace in that. The fight is on my doorstep.”
In this minute she is ascending one of the two small hills on her standard training run in Minneapolis. Justin is alongside. It is a humid evening, and a dim haze lies over the city. Gabe’s breathing becomes more labored with the short climb, and she huffs out her words. “I wouldn’t wish this on anyone,” she says, “but I have learned that the human mind and body are truly resilient. I rule nothing out.” The runner lowers her head and picks up her knees, driving into the hillside, leaving the echo of gentle footfalls in her wake.
