For many athletes, lower back injuries are common—but also treatable

This is the ninth in a series of sports medicine articles from the world-renowned Rothman Institute. Series Editors are Rothman doctors Richard H. Rothman MD, and John A. Anderson MD.
Lumbar spine injuries are all-too common in athletes of all ages. While core strengthening and physical activity is necessary for a healthy back, high-level athletic activity can lead to significant low back injuries. Almost 14% of athletes at the NFL combine have a pre-existing lumbar spine diagnosis (such as a herniated intervertebral disc or a stress fracture). Lumbar injuries in non-collision sport athletes are common as well. MRI testing reveals that up to 85% of Olympic athletes have lumbar intervertebral disc degeneration or disc herniations.
One of the most common lumbar spine injuries seen in athletes is a stress fracture (spondylolysis) of a small bone (the pars interarticularis) in the posterior aspect of the low back (Figure 1). While this injury most commonly occurs during adolescence, some patients will not develop symptoms until adulthood. It commonly occurs in athletes who repeatedly hyperextend (excessively arch) their low back, such as gymnasts and football players (particularly offensive linemen). However, this injury has been reported in athletes in all sports. The condition recently received widespread attention when it forced Joel Embiid to miss the 2014 NCAA college basketball tournament. Additionally, a patient’s specific pelvis and lumbar spine anatomy may increase the risk of developing this injury.
Repeated hyperextension may lead to impingement of the bony elements in the posterior lumbar spine, and while this minor trauma is not sufficient to cause a fracture in isolation, when it is repeated over and over again, eventually the bone will break. Imagine a paper clip: You can bend the paper clip many times, and it won’t break; but if you bend it one too many times, the entire thing will snap.
Patients often present with an insidious onset of low back pain, pain that often worsens when the patient is playing sports and arching his back, and improves when the patient is resting or leaning forward. While there is no guaranteed way to prevent this injury, a stress fracture often occurs when there has been a significant increase in athletic activity without proper training. A common example is a stress fracture in the leg of a runner who drastically increases the distance of her runs. To avoid these injuries, athletes should carefully plan our their training, slowly increasing their activity, and they should make sure to cross-train, to avoid repeatedly stressing any single area in the musculoskeletal system.

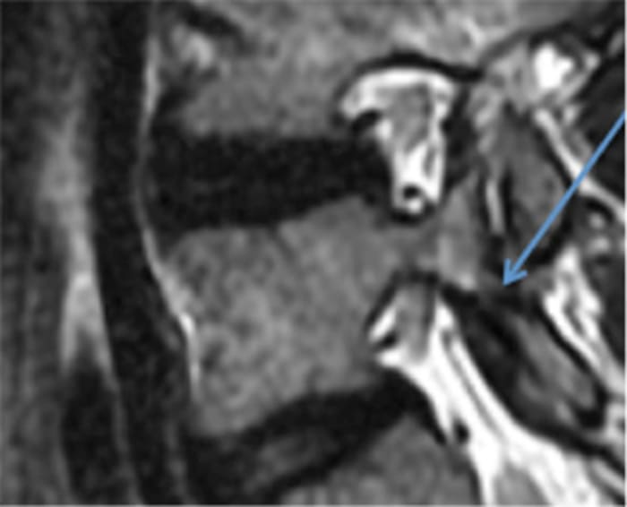
Another common injury to the low back of athletes is a herniated intervertebral disc. Professional athletes such as Tony Romo, Dwight Howard and Marian Hossa have all suffered this injury. The intervertebral discs are shock absorbers between the bones in the back. They are composed of a gel-like center portion (the nucleus pulposus) surrounded by a firm fibrous outer layer (the annulus fibrosis). If there is an injury to the outer fibrous layer, the inner portion can extrude out and compress local nerve roots (Figure 2). This often presents with pain shooting down a patient’s leg, and it may be associated with significant numbness, tingling and weakness in the leg.
Faced with these symptoms, athletes should immediately stop athletic activity and see a medical professional. Fortunately, these symptoms will often resolve in four to six weeks with rest and anti-inflammatory medications. However, if symptoms persist, surgical intervention can lead to a significant improvement in symptoms for most patients. Furthermore, surgical treatment for a herniated disc does not preclude patients from returning to sports, as over 80% of athletes who develop a herniated intervertebraldisc can return to sporting activity.

Like stress fractures, there is no way to totally prevent a herniated intervertebraldisc. One of the major risk factors for developing a herniated disc is a family history of a herniated disc; additionally athletes who participate in sports that require substantial axial loading or flexion/rotation through the lumbar spine, such as football, weightlifting and bowling, may be at an increased risk. It is critical to maintain proper technique. Patients with a family history of herniated disc, or patients who are participating in one of these sports should be aware of the symptoms of a herniated disc, and seek medical attention immediately if they develop those symptoms.

Lastly, one of the most common injuries to the lumbar spine in athletes is a strain to the muscles of the back. This often occurs when athletes lift heavy loads, and when athletes rapidly twist or flex/extend their backs. The best way to prevent a muscle strain is to make sure to use proper technique when performing heavy lifting. Additionally, prior to any strenuous athletic activity, athletes should gently stretch all of the major muscles in their arms, legs and back, as well as perform light cardiovascular exercise such as jogging or riding a stationary bike. Many stretches designed for muscles in the legs, such as toe touches, will also stretch the muscles in the back, and exercises such as planks and push-ups activate the core muscles of the back. If an athlete does develop pain in his low back that does not radiate into his legs, he should take a break from athletic activity, and rest until his symptoms resolve.
Symptomatic treatment, including rest, anti-inflammatory medications and ice is often all that is necessary. If symptoms persist for longer than two weeks, the athlete should seek medical attention.
Lumbar spine injuries are common in athletes, and while nothing will prevent all injuries, following a training routine that does not over-stress a single portion of the musculoskeletal system, as well as stretching and warming up prior to vigorous exercise can decrease the risk of a lumbar spine injury. Fortunately, even when lumbar spine injuries occur in athletes, most can be treated with rest, ice and anti-inflammatory medications.
Alexander R. Vaccaro MD, Ph.D., is one of the world’s preeminent spine surgeons and president of the Rothman Institute. He is also Richard H. Rothman Professor and Chairman, Department of Orthopaedic Surgery at Thomas Jefferson University in Philadelphia and past president of the American Spinal Injury Association. Dr Vaccaro is Chief Spine Consultant to the all the Philadelphia Pro Sports Teams: The Eagles, Flyers, Phillies and 76ers.
