The Stacy Lewis Story
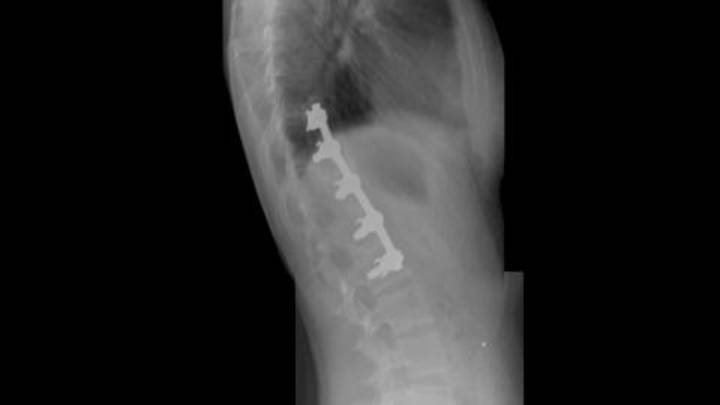
Learn Stacy Lewis' incredible story of overcoming scoliosis as an 11-year-old girl to becoming one of the top players on the LPGA Tour.

Learn Stacy Lewis' incredible story of overcoming scoliosis as an 11-year-old girl to becoming one of the top players on the LPGA Tour.
